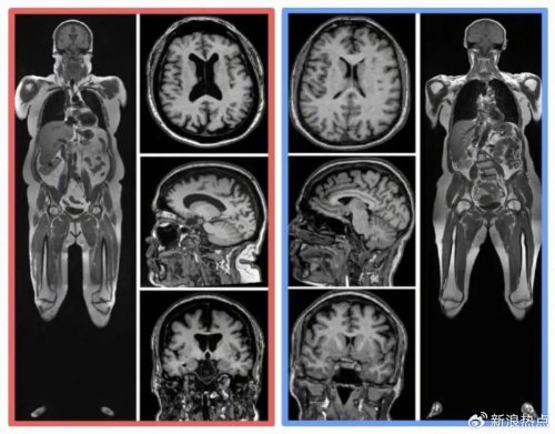
今年8月,来自美国华盛顿大学等10个科研机构,纳入了10,001名参与者,经过全身核磁、计算机深度学习、回归分析等一通复杂操作后,谨慎得出了结论:内脏脂肪越多,大脑(灰质、白质等)越小。

同时在今年4月,柳叶刀子刊发表了一项中年人研究,调查了8769位参与者后发现,内脏脂肪和BMI升高,两者均与认知能力下降之间存在因果关系。内脏脂肪每增加0.27kg,相当于认知衰老0.7年。

文章来源:第六下载作者:admin发布时间:2024-01-08 12:25
今年8月,来自美国华盛顿大学等10个科研机构,纳入了10,001名参与者,经过全身核磁、计算机深度学习、回归分析等一通复杂操作后,谨慎得出了结论:内脏脂肪越多,大脑(灰质、白质等)越小。

同时在今年4月,柳叶刀子刊发表了一项中年人研究,调查了8769位参与者后发现,内脏脂肪和BMI升高,两者均与认知能力下降之间存在因果关系。内脏脂肪每增加0.27kg,相当于认知衰老0.7年。

极限特技摩托车
小编给大家介绍一款超刺激的体育竞技手游《极
硬核二次元游戏 适合春节假期玩的游戏
极限平衡球3 轮船版
《极限平衡球3 轮船版》是一款休闲益智类手游,
硬核二次元游戏 适合春节假期玩的游戏
安迪与莉莉的棺材 汉化版2025
《安迪与莉莉的棺材》2025汉化版来啦,这是一款
硬核二次元游戏 适合春节假期玩的游戏
被遗弃的星球 手机版
小编给大家推荐一款冒险解谜游戏《被遗弃的星
硬核二次元游戏 适合春节假期玩的游戏
少女乐团派对官方版
小编给大家介绍一下《少女乐团派对》官方版,
硬核二次元游戏 适合春节假期玩的游戏
探险终章
这是一款叫探险终章的卡牌对战手游,安卓平台
硬核二次元游戏 适合春节假期玩的游戏
雪屋温泉旅馆 安卓版汉化版
小编给大家推荐这款《雪屋温泉旅馆》安卓汉化
硬核二次元游戏 适合春节假期玩的游戏
云顶之弈tft普通版
小编给大家安利这款腾讯家出的云顶之弈TFT普通
硬核二次元游戏 适合春节假期玩的游戏
粘土模拟器 免费版
今天给大家安利一款解压小神器《粘土模拟器》
硬核二次元游戏 适合春节假期玩的游戏
无畏契约 wegame版
小编给大家介绍一下《无畏契约》wegame版,这是
硬核二次元游戏 适合春节假期玩的游戏